Áreas de atuação
O Instituto Brzozowski celebra mais de quatro décadas de excelência em odontologia.Com um time de especialistas em todas as áreas da odontologia, oferecemos soluções personalizadas e de alta qualidade, sempre alinhadas às mais recentes inovações tecnológicas e descobertas científicas.
Implantes
Os implantes são dispositivos de titânio ou zircônia, que são instalados no osso da mandíbula ou maxila, que servem como substitutos das raízes dentárias perdidas. Eles oferecem uma base sólida para a fixação de coroas, pontes ou dentaduras, restaurando a função e a estética dentária perdidas devido à perda de dentes.
Prótese Dental
As próteses dentárias são dentes artificiais confeccionados por laboratórios especializados para substituir ou reparar dentes ausentes ou danificados. As próteses ajudam a restaurar a função mastigatória, a estética, melhorar a fala, a saúde bucal e geral dos pacientes. Podem ser verdadeiras obras de arte, capazes de transformar um sorriso e melhorar a qualidade de vida de quem as utiliza.
Endodontia
Também conhecida como tratamento de canal, a endodontia é a especialidade odontológica dedicada ao diagnóstico e tratamento das doenças da polpa dentária. O tratamento de canal é realizado para salvar um dente que está infectado ou danificado, removendo o tecido infectado e selando o canal para evitar a recorrência da infecção.
Harmonização Orofacial
Este procedimento visa melhorar a estética facial e funcionalidade através de técnicas que equilibram e rejuvenescem a aparência do rosto e da boca. Pode incluir tratamentos como preenchimento labial, toxina botulínica (Botox), correção de assimetrias faciais, entre outros. O botox também pode ser realizado em pacientes que apresentem Disfunções nas Articulações Temporomandibulares (DTM’s), como em casos de bruxismo e apertamento.
Alinhadores Invisíveis
Os alinhadores são dispositivos transparentes e removíveis utilizados para corrigir a posição dos dentes, especialmente em casos de má oclusão e desalinhamento dental. Eles oferecem uma alternativa discreta e confortável aos aparelhos ortodônticos tradicionais.
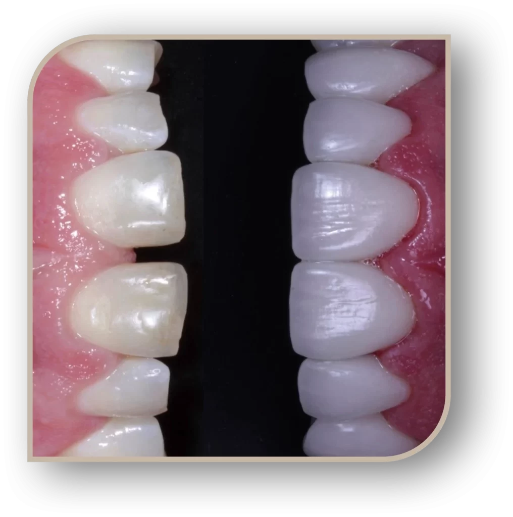
Lentes de Porcelana
Lentes de porcelana são camadas ultrafinas de porcelana ou zircônia colocadas sobre a superfície dos dentes para melhorar sua forma, cor, tamanho e posição. Elas proporcionam resultados estéticos impressionantes e duráveis, transformando sorrisos com aparência natural.
Facetas em Resina
Facetas em resina são camadas finas de resina aplicadas nos dentes para corrigir imperfeições estéticas como manchas, fraturas ou espaços irregulares. Elas são moldadas diretamente nos dentes pelo dentista, oferecendo uma solução rápida e eficaz para um sorriso mais bonito e harmonioso.
Clareamento Dental
Este procedimento é realizado para clarear a cor dos dentes, deixando-os mais brancos e iluminados. É capaz de remover manchas causadas pelo consumo de alimentos pigmentados, tabagismo ou outros fatores. Pode ser feito no consultório dentário ou em casa, com o uso de produtos clareadores específicos.
Protocolo
O protocolo sobre implantes é um tipo de tratamento odontológico que visa restaurar completamente uma arcada dentária, seja ela superior ou inferior. É uma solução moderna e eficiente para quem perdeu todos os dentes ou possui poucos dentes remanescentes em má condição.
- Implante: Em vez de colocar um implante para cada dente perdido, o protocolo utiliza um número menor de implantes, geralmente entre 4 e 6 por arcada. Esses implantes servem como pilares para a prótese.
- Prótese: Sobre esses implantes, é fixada uma prótese que substitui todos os dentes da arcada. Essa prótese é confeccionada em material resistente e estético, proporcionando um resultado natural e duradouro.
- Estética: O resultado final é um sorriso natural e esteticamente agradável.
- Funcionalidade: A prótese fixa sobre implantes proporciona excelente função mastigatória.
- Conforto: A prótese não se move na boca, proporcionando mais conforto ao paciente.
- Rapidez: O tratamento pode ser realizado em um tempo relativamente curto, dependendo de cada caso.
- Durabilidade: Com os cuidados adequados, a prótese pode durar muitos anos.
Reabilitação Oral
A reabilitação oral é um conjunto de tratamentos odontológicos que visam restabelecer a saúde, a função e a estética bucal de um paciente de forma integral.
- Sorriso mais bonito: A reabilitação oral pode transformar um sorriso comprometido em um sorriso esteticamente agradável.
- Melhora da mastigação: A recuperação da função mastigatória facilita a digestão dos alimentos.
- Fala mais clara: A reabilitação oral pode corrigir problemas de fala causados por dentes perdidos ou mal posicionados.
- Maior conforto: Ao eliminar dores e sensibilidade, a reabilitação oral proporciona maior conforto ao paciente.
- Prevenção de doenças: Ao tratar as causas dos problemas bucais, a reabilitação oral ajuda a prevenir doenças sistêmicas, como doenças cardíacas e diabetes.
A reabilitação oral é indicada em diversas situações, como:
- Perda de dentes: Devido a cáries, doenças periodontais ou traumas.
- Dentes quebrados ou desgastados: Que comprometem a função mastigatória e a estética.
- Doenças gengivais: Que causam inflamação e retração da gengiva.
- Má oclusão: Quando os dentes não se encaixam corretamente.
- Problemas articulares: Que afetam a mastigação e a fala.
A reabilitação oral é um tratamento personalizado, e os procedimentos necessários variam de caso para caso. Alguns dos tratamentos que podem ser realizados incluem restaurações, próteses dentárias, tratamento de canal, ortodontia, implantes dentários e periodontia (especialidade da odontologia que cuida das doenças gengivais.
Outros Procedimentos e Soluções
- Limpeza dental
- Protocolos sobre implantes
- Clareamento dental
- Restauração dentária
- Extração dentária
- Tratamento de canal (endodontia)
- Implantes dentários
- Coroas dentárias
- Próteses dentárias
- Lentes de porcelana
- Facetas em resina
- Ortodontia (aparelhos dentários)
- Aparelho invisível
- Tratamento de gengivite e periodontite
- Selamento de fissuras
- Odontopediatria (atendimento infantil)
- Tratamento de bruxismo
- Tratamento de DTM (disfunção temporomandibular)
- Aplicação de selantes
- Tratamento de mau hálito (halitose)
- Avaliação de saúde bucal geral
- Harmonização orofacial